
TIP-EDGE TECHNIQUE は1986年 Dr.P.C.Kesling が考案したシステムで、歯の近遠心移動が短期間で達成され、仕上げにフルサイズの角ワイヤーを用いて精密な仕上げが達成できる矯正法である。
また、2003年 Dr.P.C.Kesling により新たな改良がなされ、STAGE THREE において今まで、使用されていたSIDE WINDER SPRING が不要になりよりスマート且つシンプルなテクニックになっております。
このシステムは欧米では幅広く普及し、我が国においても佐波講師が毎年、福岡でセミナーを開催し西日本においては300名をこす臨床家の先生方が取り入れられております。
私達の目標は矯正治療を行うことにより、
1、歯並びが改善されること。
2、よく咬めること。
3、プロフィール(横顔)が改善されること。
専門的には、理想的咬合状態の確率すなわち、歯および歯列(顎を含めた)の長寿安定化をめざしております。
以上の目標が達成され、患者さんに喜んでいただければ、矯正医として最高の喜びです。
TIP-EDGE TECHNIQUE は以下の3段階のステップに別けて行われます。
 |
1.叢生、捻転の除去
2.Overjet. Overbite の改善 |
 |
歯を抜いた場合(プロフィールの改善が困難な時)空隙の閉鎖を行います。 |
 |
全ての歯における理想的な歯軸傾斜の達成。
(トルクとアップライトの仕上げ) |
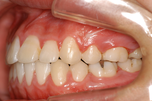
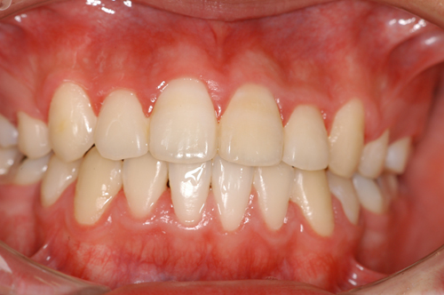
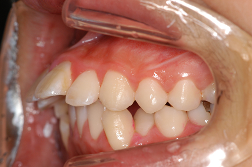
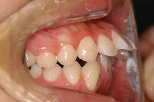
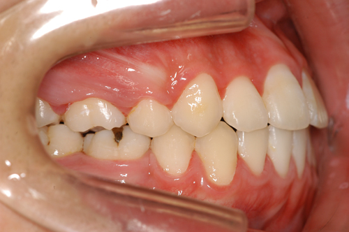
患者:14歳8ヶ月 男性
抜歯部位:上顎、第一小臼歯 下顎第二小臼歯
動的治療期間:18ヶ月
|